Typy aparátů
Léčíme pomocí snímatelných, fixních i speciálních aparátů, navžených individuálně pro pacienta. Podívejte se, jak vypadají.


Ortodoncie se zabývá léčením nepravidelností postavení zubů i čelistí.
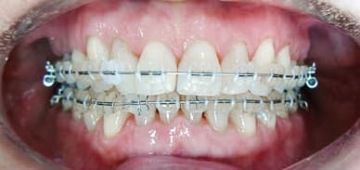
Fixní
Klasické fixní ortodontické aparáty jsou složeny z kroužků, kanyl, zámků, knoflíků a jiných přídatných součástí.
Fixní aparáty můžou být speciálně individuálně zhotovené pro pacienta
Fóliové
K ortodontické léčbě ve stálém chrupu je možné použít kromě klasických fixních rovnátek se zámky také „neviditelná rovnátka“.


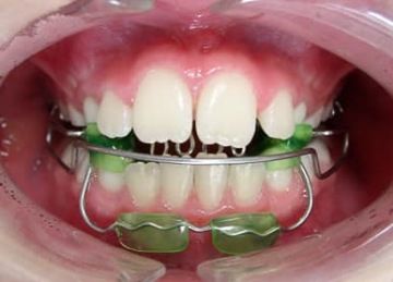
Snímatelné
Používají se v dětském věku při léčbě některých vad.





